Crown & Bridges

A crown (or cap) is a covering that encases the entire tooth surface restoring it to its original shape and size. A crown protects and strengthens tooth structure that cannot be restored with fillings or other types of restorations

Although there are several types of crowns, porcelain (tooth colored crown) are the most popular, because they resemble your natural teeth. They are highly durable and will last many years, but like most dental restorations, they may eventually need to be replaced. Porcelain crowns are made to match the shape, size, and color or your teeth giving you a natural, long-lasting beautiful smile.

Fixed bridges

A dental bridge is a fixed (non-removable) appliance and is an excellent way to replace missing teeth.

This type of bridge consists to two crowns that go over two anchoring teeth (abutment teeth) and are attached to pontics (artificial teeth), filling the gap created by one or more missing teeth.

Dental bridges are highly durable and will last many years, however they may need replacement or need to be re-cemented due to normal wear.

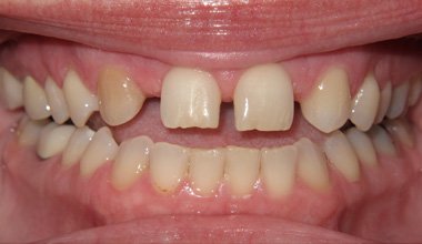
Awesome Image

Before

Awesome Image

After

Quick Contact

Opening Hours

  • 09.00 am to 01.00 pm
    04.00 pm to 08.00 pm

Appointment Now

    Take Appointment

Reasons for a fixed bridge

Fill space of missing teeth

Maintain facial shape

Prevent remaining teeth from drifting out of position

Restore chewing and speaking ability

Restore your smile

Upgrade from a removable partial denture to a permanent dental appliance

FAQ's

What type of toothbrush and toothpaste should I use?

Buy toothbrushes with soft bristles. Medium and firm ones can damage teeth and gums. Use soft pressure, for 2 minutes, two times a day.Both powered and manual toothbrushes clean teeth well. Manual brushes with mixed bristle heights or angled bristles clean better than those with all flat, even bristles. Powered toothbrushes may be easier if you have trouble using your hands.

Do teeth need fluoride?

Does a rinse or mouthwash help?

Mouthwashes for cavity protection, sensitivity, and fresh breath may help when you use them with regular brushing and flossing -- but not instead of daily cleanings. Your dentist can recommend the best type for you.

Do I really need to floss?

There's no getting around the need to get around your teeth daily with dental floss. It clears food and plaque from between teeth and under the gumline. If you don't, plaque hardens into tartar, which forms wedges and widens the space between teeth and gums, causing pockets. Over time, gums pull away and teeth loosen.

Are dental X-rays safe and needed?

Medical and dental experts study the use of X-rays and set limits for their safety. Your dentist should take as few as possible. Expect to get them during a first exam after not seeing a dentist for a while. This helps check tooth and gum health.

Other Treatment

We give Just one more reason to smile?