Cosmetic Dentistry

It is a process where-in esthetic evaluation of all oral hard and soft tissues is performed and required changes are brought about which will enhance overall esthetics of face.

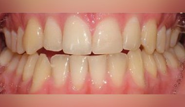
Laminates & Veneers :

Veneers are shells of ceramic or composite that can be chemically bonded to tooth structure and are the primary treatment modality for the popular extreme makeovers in cases with heavy permanent stains, disproportionately small teeth with spaces and structurally damaged teeth.

Awesome Image

Before

Awesome Image

After

Quick Contact

Opening Hours

  • 09.00 am to 01.00 pm
    04.00 pm to 08.00 pm

Appointment Now

    Take Appointment

Tooth whitening (bleaching)

Earnest endeavour towards beautifying your smile. Our efforts are focused on formulating a treatment plan .

Composite Fillings (tooth coloured)

Earnest endeavour towards beautifying your smile. Our efforts Composite or GIC fillings can be done so as to resemble the colour of tooth structure are focused on formulating a treatment plan .

GIC Fillings (tooth coloured)

Earnest endeavour towards beautifying your smile. Our efforts are focused on formulating a treatment plan .

FAQ's

What type of toothbrush and toothpaste should I use?

Buy toothbrushes with soft bristles. Medium and firm ones can damage teeth and gums. Use soft pressure, for 2 minutes, two times a day.Both powered and manual toothbrushes clean teeth well. Manual brushes with mixed bristle heights or angled bristles clean better than those with all flat, even bristles. Powered toothbrushes may be easier if you have trouble using your hands.

Do teeth need fluoride?

Does a rinse or mouthwash help?

Mouthwashes for cavity protection, sensitivity, and fresh breath may help when you use them with regular brushing and flossing -- but not instead of daily cleanings. Your dentist can recommend the best type for you.

Do I really need to floss?

There's no getting around the need to get around your teeth daily with dental floss. It clears food and plaque from between teeth and under the gumline. If you don't, plaque hardens into tartar, which forms wedges and widens the space between teeth and gums, causing pockets. Over time, gums pull away and teeth loosen.

Are dental X-rays safe and needed?

Medical and dental experts study the use of X-rays and set limits for their safety. Your dentist should take as few as possible. Expect to get them during a first exam after not seeing a dentist for a while. This helps check tooth and gum health.

Other Treatment

We give Just one more reason to smile?